Gum Disease Treatment - Naples & Fort Myers, FL

A Brilliant Smile Starts with Healthy Gums

Schedule Your Appointment

Get Started

Give Your Gums The Care Your Smile Deserves

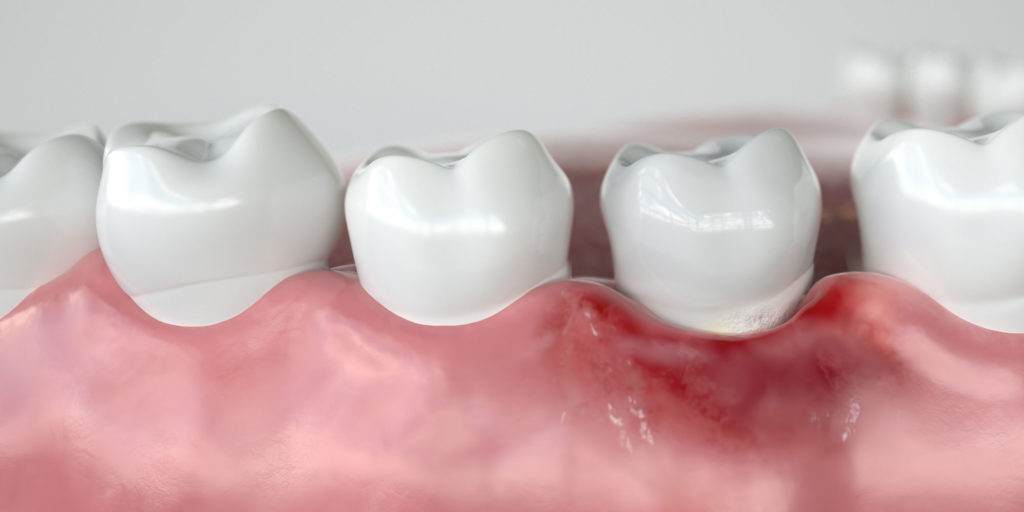
Periodontal disease is the most common dental health issue in the U.S., impacting more than 70% of people aged 65 and older, to some degree. In addition to age, contributing factors that can increase your risk of gum disease include poor oral hygiene and/or nutrition, tobacco use, genetics, stress, teeth clenching (bruxism) and specific systemic diseases. Gum disease is caused by bacterial plaque and associated toxins that can turn into tartar (calculus) if not adequately removed. Early-stage periodontal disease called gingivitis can cause inflammation, bleeding gums and gum infection. If gum disease progresses unchecked, you may develop periodontitis, advanced gum disease associated with formation of periodontal pockets and eventual tooth loss. At Marsh Cove Dental and Implant Center, our dentist Dr. Titov and hygienist emphasize the important role early detection and gum disease treatment play in preventive dentistry.

At Marsh Cove Dental and Implant Center, our dentist Dr. Titov and hygienist emphasize the important role early detection and gum disease treatment play in preventive dentistry.

If you’re experiencing red, swollen or tender gums that bleed when you brush, we encourage you to schedule gum disease treatment in Naples & Fort Myers, FL to protect your smile, oral health and systemic health. We partner with multiple insurance companies and offer third-party financing so that deductibles or co-pays don’t become a barrier to seeking prompt gum disease treatment.

gum disease graphic

Gum Disease Warning Signs

recovered after treatment happy with smile

Targeted Treatment for Gum Disease

The good news is gum disease is preventable—and curable in early stages! Every time you visit Marsh Cove Dental and Implant Center for your biannual exam and cleaning, we perform gum screenings to ensure your gums are healthy or to detect inflammation before it damages your oral health. If you have gum disease, our dentist Dr. Titov offers different treatments targeted at stopping gum disease in its tracks, from early-stage gingivitis treatment in Naples & Fort Myers, FL to advanced-stage periodontitis treatment. To ensure you’re comfortable during treatment, you can choose from several sedation options. To prevent recurrent gum disease, it’s crucial to follow a good oral hygiene routine at home and get professional teeth cleanings and exams at least twice a year. With regular professional care, maintenance and good oral health habits, gum disease doesn’t have to damage your smile ever again!

Key Gum Disease Treatments

If our dentist determines you have gum disease, the first line gingivitis treatment in Naples & Fort Myers, FL is a procedure called scaling and root planing. This is a deep cleaning focused specifically on the gums and roots of your teeth. During this procedure, Dr. Titov removes any plaque and bacteria from below your gumline, then gently smooths out the tooth roots. This reduces the likelihood of plaque and bacteria impacting your gums in the future and lowers the risk of reinfection.

This surgical procedure is performed to gain access to diseased root and bone areas, remove bacteria and infected gum tissue and reduce pockets. After the local anesthetic and optional sedation have taken effect, our dentist makes an incision at your gumline and then folds back the gums to clean out bacteria. If any of the exposed bone is damaged or shaped irregularly, smoothing it out reduces the risk of bacteria growth causing reinfection. If your bone is significantly damaged, we offer plasma-rich growth factors and fibrin to enhance the healing process. Then your gums are sutured back into place and covered with dental dressing.

A few months after scaling and root planing, bacterial plaque can cause gum disease to recur. We recommend periodontal maintenance with deeper cleanings every three to four months to help keep your gums and teeth healthy. The severity of your gum disease, response to other soft tissue procedures, plaque growth rate and oral care at home will help our team determine how often you’ll need this done.

During a gingivectomy in Naples & Fort Myers, FL, diseased gum tissue is removed and/or reshaped to eliminate deep periodontal pockets that make it difficult to access and remove tartar. A gingivectomy is typically done before gum disease has damaged bone supporting your teeth. Removing the pocket walls provides greater visibility and accessibility to thoroughly remove tartar and smooth the tooth roots. While a gingivectomy was initially developed to treat gum disease, it can be done as a cosmetic procedure to reshape gums or to enable placement of a restoration.

Find out how life-changing dental implants can be for you!

Schedule An Appointment

I understand the information disclosed in this form may be subject to re-disclosure and may no longer be protected by HIPAA privacy regulations and the HITECH Act.

Experiencing Signs of Gum Disease?

Schedule gum disease treatment to save your smile.

I understand the information disclosed in this form may be subject to re-disclosure and may no longer be protected by HIPAA privacy regulations and the HITECH Act.

schedule appointment